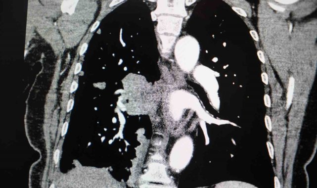
Göğüs Hastalıkları Uzmanı Prof. Dr. Şevket Özkaya, Türkiye'de sigara kullanımının özellikle kadınlar arasında alarm verici boyutlara ulaştığını söyledi. Özkaya, "Kadınlardaki sigara kullanımı artışı Cumhuriyet tarihinin rekor seviyesindedir" dedi.9 Şubat Sigarayı Bırakma Günü dolayısıyla değerlendirmelerde bulunan Prof. Dr. Özkaya, "2012 ile 2022 yılları arasındaki verilere baktığımızda, ülkemizde sigara içme oranı genel olarak yüzde 20 arttı. Erkeklerde bu artış yüzde 12 düzeyindeyken, kadınlarda yüzde 38 gibi çok ciddi bir artış söz konusudur. Bugün erkeklerin yüzde 45'i, kadınların ise yüzde 19'u sigara içiyor. Özellikle 35-44 yaş grubundaki kadınlarda tütün kullanımı Cumhuriyet tarihinin en yüksek seviyelerine ulaştı. Bu yaş grubunda her dört kadından biri sigara içiyor" dedi."Sigara kullanımının artması, gençlerde ve çocuklarda sigarayla temas riskini de artıracak"Kadınlarda sigara bağımlılığının artmasının toplumsal sonuçları olduğuna vurgu yapan Prof. Dr. Özkaya, "Kadın, anne figürü toplumda önemli bir rol modeldir. Kadınlarda sigara kullanımının artması, gençlerde ve çocuklarda sigarayla temas riskini de artıracaktır. İkinci önemli sorun ise kadınların sigarayı bırakmasının erkeklere göre daha zor olmasıdır. Bırakma oranları erkeklerin gerisinde seyrediyor" şeklinde konuştu."Kadınlarda akciğer kanseri vakaları belirgin şekilde artıyor"Akciğer kanseri vakalarındaki artışa da dikkat çeken Özkaya, "Son yıllarda hem sigara içen hem de hiç sigara kullanmamış bireylerde akciğer kanseri vakalarında dikkat çekici bir artış görüyoruz. Özellikle kadınlarda adenokarsinom tipi akciğer kanseri belirgin şekilde artış göstermektedir., Yapılan son araştırmalara göre akciğer kanseri teşhislerinin yaklaşık yüzde 20'si hiç sigara içmemiş bireylerde konuluyor. Bunun en önemli nedeni pasif içiciliktir. Yani siz sigara içmeseniz bile, yakın çevrenizde sigara içiliyorsa akciğer kanseri riskiyle karşı karşıya kalabilirsiniz" ifadelerini kullandı."Sigara kadınlarda kalp krizi ve cinsiyete özgü kanserleri de artırıyor"Sigaranın kadın sağlığı üzerindeki etkilerine değinen Prof. Dr. Özkaya, "Sigara kullanımı kadınlarda sadece akciğer kanseri riskini değil, kalp krizi riskini de ciddi şekilde artırmaktadır. Ayrıca gebelikle ilgili sorunlar, bebek sağlığı problemleri ve rahim ağzı kanseri gibi cinsiyete özgü hastalıklar da sigarayla doğrudan ilişkilidir" dedi.Özkaya sözlerini şöyle tamamladı:"Sigara içen kadınlarda, kanserle ilişkili bazı gen mutasyonlarını erkek içicilere göre daha sık görüyoruz. Bu nedenle kadınlarda sigara kullanımı, çok daha dikkatle ele alınması gereken önemli bir halk sağlığı sorunudur."
SAĞLIK
Yayınlanma: 09 Şubat 2026 - 16:12
Güncelleme: 09 Şubat 2026 - 16:51
Profesörden korkutan sigara açıklaması: "Kadınlarda sigara kullanımı son 10 yılda yüzde 38 arttı"
Göğüs Hastalıkları Uzmanı Prof. Dr. Şevket Özkaya, Türkiye'de sigara kullanımının özellikle kadınlar arasında alarm verici boyutlara ulaştığını söyledi. Özkaya, "Kadınlardaki sigara kullanımı artışı Cumhuriyet tarihinin rekor seviyesindedir" dedi.
SAĞLIK
09 Şubat 2026 - 16:12
Güncelleme: 09 Şubat 2026 - 16:51









