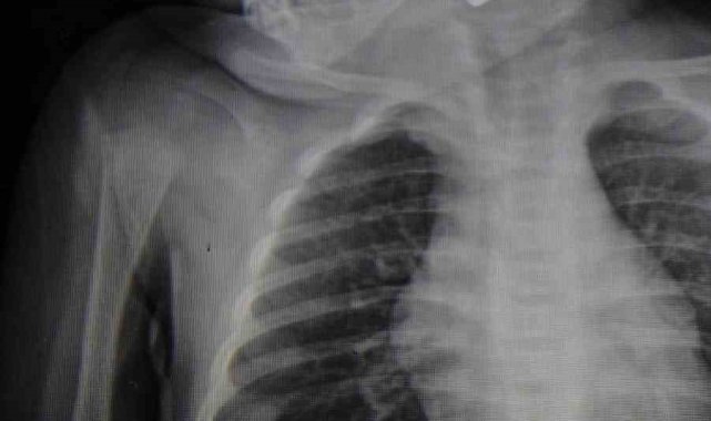
Karaman'da 6 aylık bebeğin boğazına kaçan kumanda pili, ameliyatla çıkarıldı.Edinilen bilgiye göre, kusma şikayeti ile ailesi tarafından Karaman Eğitim ve Araştırma Hastanesi acil servisine getirilen 6 aylık E.A. isimli kız bebeğin, yapılan muayene ve tetkiklerde boğazında kumanda pili kaçtığı tespit edildi. Solunum sıkıntısı da yaşayan bebek hemen ameliyata alındı. Çocuk Cerrahisi Uzmanı Doç. Dr. Mehmet Uysal tarafından yapılan ameliyatla bebeğin boğazındaki pil çıkarıldı."Hemen müdahale ettik"Yaşanan olayla ilgili bilgi veren Doç. Dr. Mehmet Uysal, "Acil polikliniğimize kusma şikayeti ile 6 aylık bir kız bebek getirilmiş ve bize haber verildi. Biz de vakit kaybetmeden geldik, hastamızı gördük. Yapılan tetkikler sonucunda, ağız tabanına oturan ve yemek borusunun birinci darlığına kadar uzanan, kumanda pili dediğimiz bir pille karşılaştık. Filmde ve muayenede bunu gördük. Hastayı ilk gördüğümüzde bayağı siyanotik durumda, solunum sıkıntılıydı ve oksijen satürasyonu 90 civarındaydı. Böyle olunca bir an önce beklemeden hızlı bir şekilde ameliyathaneye götürdük. Orada ameliyathanedeki anestezi uzmanlarımız ve personel bize yardımcı oldu, hasta hızlı bir şekilde entübe edildi. Ondan sonra da laringoskop ve magill forseps dediğimiz malzemelerimizle bu yabancı cismi çıkarmış olduk. Bir an evvel müdahale ettik, iyi ki müdahale ettik, orada ağız tabanında, özellikle ön kısmında hasar oluşmuştu. Müdahale sonrasında da hastanın solunum problemleri bir süre devam etti, bu yüzden 24 saat takip ettik. Herhangi bir problem oluşmayınca 24 saat sonra kontrole gelmek üzere hastayı taburcu ettik" diye konuştu."Aileleri uyarıyoruz"Ailelere uyarılarda bulunan Doç. Dr. Uysal, "Bu konularda aileleri uyarıyoruz. 1 yaş altı çocuklarda bile bu durum oluşabilir. Bazen 2-3 yaş diyoruz ama 1 yaş altındaki çocuklarda da emekleme döneminde bile bu tür yabancı cisimleri, özellikle kumanda pili, kalem pil gibi şeyleri ortada bırakmamak lazım. Çocuklar meraklı olduğu için her şeyi ağzına götürmeye meyilli. Dikkat etmediğimiz takdirde ölümcül sonuçlar oluşabiliyor. Bu vakada şanslıydık, çocuktaki durum erken fark edildi ve hemen müdahale edildi. Şu anda çocuk sağlıklı bir şekilde hayatına devam ediyor" dedi.
SAĞLIK
Yayınlanma: 07 Ocak 2026 - 10:50
Güncelleme: 07 Ocak 2026 - 11:50
Karaman'da boğazına kumanda pili kaçan bebek ölümden döndü
Karaman'da 6 aylık bebeğin boğazına kaçan kumanda pili, ameliyatla çıkarıldı.
SAĞLIK
07 Ocak 2026 - 10:50
Güncelleme: 07 Ocak 2026 - 11:50









