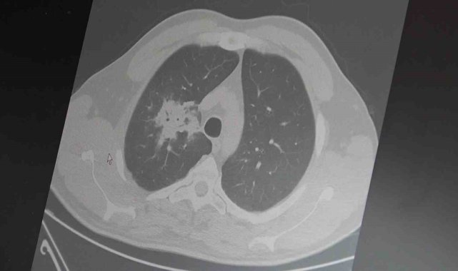
Göğüs Hastalıkları Uzmanı Prof. Dr. Şevket Özkaya, elektronik sigaralara ilişkin yapılan bilimsel çalışmaların sonuçlarının netleşmeye başladığını belirterek, "100'den fazla çalışma analiz edildi ve sonuç açıktır; elektronik sigara kansere neden olur" dedi.Elektronik sigaraların 2000'li yılların başında geleneksel sigaraya göre daha temiz, daha az kokulu ve daha güvenli bir alternatif olarak pazarlandığını hatırlatan Prof. Dr. Özkaya, milyonlarca kişi tarafından hızla benimsendiğini söyledi. Kullanıcıların yıllardır "Zararı var mı, sigaraya göre daha mı zararsız" sorusunu yönelttiğini ifade eden Özkaya, "Biz her zaman bu tür ürünlerin zararlarının en az 20-30 yıllık kullanım sonrası ortaya çıkacağını söyledik. Bu süre doldu ve bilimsel veriler gelmeye başladı" diye konuştu."Kanser riskini artırıyor"100'den fazla bilimsel çalışmanın incelendiği kapsamlı analizlere dikkat çeken Özkaya, elektronik sigaraların özellikle temas ettiği akciğer ve ağız bölgelerinde kanser riskini artırabileceğine dair güçlü bulgular bulunduğunu belirtti. Uzun vadeli sonuçların henüz tam olarak ortaya çıkmadığını ancak erken uyarı işaretlerinin ciddi olduğunu vurguladı. Araştırmalarda insan, hayvan ve laboratuvar verilerinin birlikte değerlendirildiğini aktaran Özkaya, elektronik sigaraların içerdiği kimyasalların hücre düzeyinde zarara yol açtığının ortaya konulduğunu ifade etti.Hücre düzeyinde ciddi hasarElektronik sigaraların DNA hasarı, oksidatif stres ve kronik iltihaplanma gibi kanser gelişiminde kritik rol oynayan üç temel mekanizmayı tetiklediğini belirten Özkaya, "Bu üç faktörün doğrudan kanser oluşumuna neden olduğunu biliyoruz" şeklinde konuştu."Çifte kullanım riski 4 kat artırıyor"2024 yılında yayımlanan bir çalışmaya da değinen Özkaya, hem geleneksel sigara hem de elektronik sigara kullanan bireylerde akciğer kanseri riskinin, sadece sigara içenlere göre dört kat daha fazla olduğunun bildirildiğini kaydetti.Gençler için uyarıElektronik sigara kullanımının özellikle gençler arasında yaygınlaştığını ifade eden Özkaya, lise çağındaki bireyler ve 40 yaş altındaki kişilerde kullanım oranlarının arttığına dikkat çekti. Elektronik sigara ile başlayan gençlerin ilerleyen süreçte normal sigaraya geçiş yapma ihtimalinin daha yüksek olduğunu belirtti. Özkaya, erken bilimsel bulguların göz ardı edilmemesi gerektiğini vurgulayarak, "Bugün gerekli önlemler alınmazsa, gelecekte çok daha büyük bir halk sağlığı sorunu ile karşı karşıya kalabiliriz" ifadelerini kullandı.
SAĞLIK
Yayınlanma: 18 Nisan 2026 - 12:50
Güncelleme: 18 Nisan 2026 - 14:28
Elektronik sigarada süre doldu: "Kanser riski netleşti"
Göğüs Hastalıkları Uzmanı Prof. Dr. Şevket Özkaya, elektronik sigaralara ilişkin yapılan bilimsel çalışmaların sonuçlarının netleşmeye başladığını belirterek, "100'den fazla çalışma analiz edildi ve sonuç açıktır; elektronik sigara kansere neden olur" dedi.
SAĞLIK
18 Nisan 2026 - 12:50
Güncelleme: 18 Nisan 2026 - 14:28









