İHA Haberleri
İHA

18 Eylül 2025 - 12:08
Tekirdağ'da lastiği patlayan otomobil bariyerlere çarptı 
18 Eylül 2025 - 12:07
Sinop'ta aronya meyvesi hasadı yapıldı 
18 Eylül 2025 - 12:07
Iğdır merkezli dolandırıcılık operasyonu: 4 gözaltı 
18 Eylül 2025 - 12:07
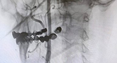
Manisa Şehir Hastanesi'nde felç riskine karşı ameliyatsız çözüm 
18 Eylül 2025 - 12:07
Teknede kopan parmak ameliyatla kurtarıldı 
18 Eylül 2025 - 12:05
Trafikte bekleyen araca çarpan otomobil yan yattı: 2 yaralı 
18 Eylül 2025 - 12:04
A Milli Takım, FIFA sıralamasındaki yerini korudu 
18 Eylül 2025 - 12:03
"Prostat cerrahisindeki güncel yöntemler, riskleri en aza düşürüyor" 
18 Eylül 2025 - 12:03
BARÜ TEKNOFEST İstanbul'da yerini aldı 
18 Eylül 2025 - 12:02
Sakarya'da yangın vakaları bir yılda yüzde 32 arttı 
18 Eylül 2025 - 12:01
Siverek'te ilköğretim haftası kutlandı 